четверг, 7 февраля 2013 г.

у правого яичка синее

Приведенные ниже данные представлены в "Методических рекомендациях по использованию инновационного метода соноэластографии для поиска рака различ

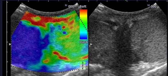
Вне зависимости от локализации новообразования злокачественный процесс характеризовался высокой степенью жесткости ткани и находит свое отражение на цветовой шкале прибора в виде участка интенсивного синего цвета, тогда как, обычные или доброкачественные новообразования представлены в виде участков зеленого или красного цвета. Данные эластографии служат важным дополнительным критерием оценки характера изменений в тканях различных органов и помогают в дифференциальной диагностике новообразований различных локализаций.

Качественные и количественные изменения нормальной или обычной структуры ткани органа под влиянием ультразвукового сигнала при эластографии отражаются в виде цветовой шкалы и могут быть подсчитаны при помощи количественных показателей. При выполнении стандартного ультразвукового исследования на второй части монитора в режиме «реального времени» получают эластограммы, которые оцениваются по компьютеризованной цветовой шкале, где степень жесткости соответствовует определенному цвету (мягкие ткани - красный и зеленый цвета, твердые - синий), а также по стандартной бальной шкале жесткости, которые разработаны применительно к исследуемому органу.

Со времен Гиппократа известно, что высокая плотность или жесткость новообразования рассматривается как показатель его злокачественности. Именно этот принцип положен в основу нового ультразвукового метода эластографии, когда с помощью ультразвуковой волны и небольшой механической компрессии можно определять степень деформации ткани органа. При этом мягкие части ткани будут деформироваться в большей степени, а твердые в меньшей.

Клинические возможности

У вас есть вопросы? Нужна консультация? и мы перезвоним Вам в течение 15 минут.

Клинические возможности

Возможность дифференцирования доброкачественных и злокачественных образований до биопсии

Уникальная возможность оценки плотности/эластичности тканей на УЗ сканере

Россия и Казахстан

Клинические возможности - Pride-Line - медицинское оборудование

Комментариев нет:

Отправить комментарий